Patient Detail: 60 yrs / Male
Clinical profile: Pain in right shoulder and numbness in right hand since 25 day\


Clinical Observations:
A heterogeneously enhancing soft tissue mass lesion centred on the right posterolateral 9th rib, measuring 6.8 x 3.7 cm in greatest transaxial dimensions, with associated underlying rib destruction is seen.
An enhancing soft tissue mass lesion centred on the left posterior 5th rib, measuring 2.7 x 1.2 cm in greatest transaxial dimensions, with associated underlying rib destruction is seen.
A hyperenhancing soft tissue mass lesion centred on the T1 vertebral body causing destruction of T1 vertebral body, right pedicle, right transverse process, posterior right first rib with extension of lesion in spinal canal leading to cord compression. Superiorly mass extent to right transverse process of C7 vertebra with bony destruction.Inferiorly lesion extent to anterolateral aspect of T2 vertebral body.
Another hyperenhancing soft tissue mass lesion measures 3.8 x 3.5 cm is seen in right paraspinal region at T3 & T4 vertebral level causing destruction of right pedicle and transverse process of T3 & T4 vertebrae. Posterior 3rd and 4th ribs destruction is also noted.
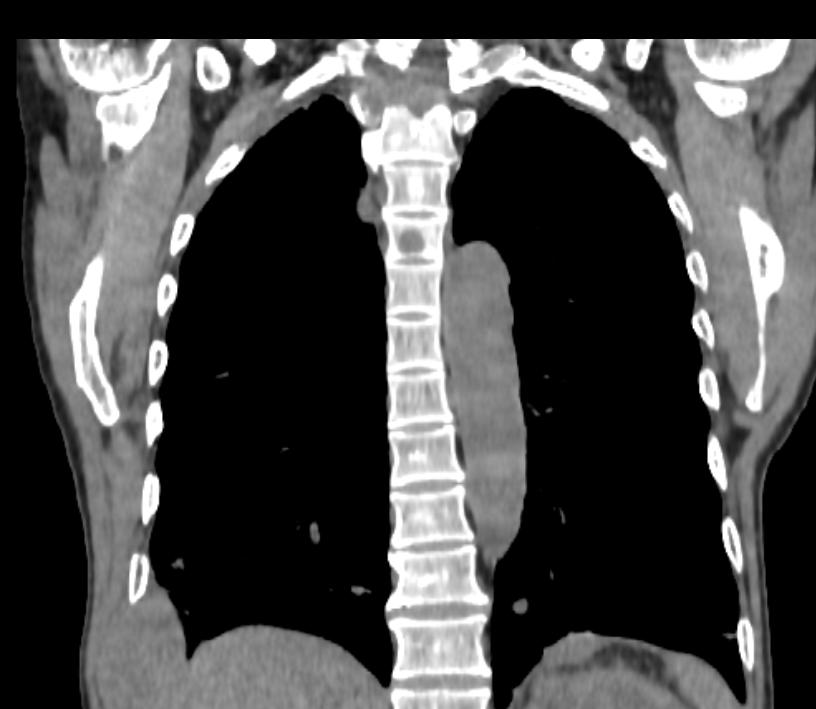
- Multiple varying size enhancing soft tissue nodules are seen in both lung fields.
- Mild paraseptal emphysematous changes are seen in both lungs upper lobe.
- Few fibrotic bands are seen in right lower lobe posterior segment.
- The trachea and major bronchi are unremarkable.
- Heart & major mediastinal vessels are normal.
- No significant mediastinal lymphadenopathy is seen.
- No pleural or pericardial effusion is seen.
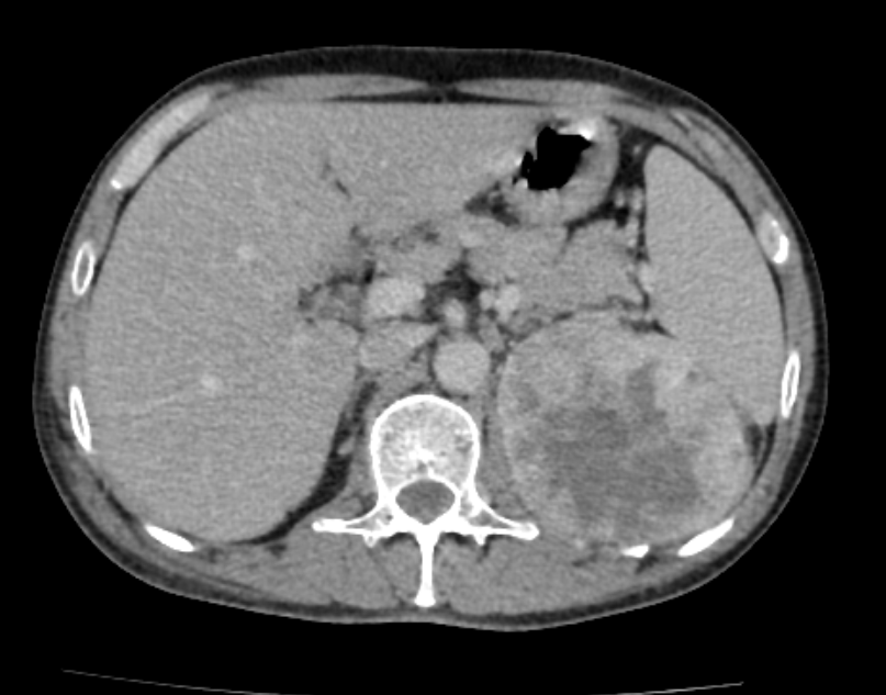
- Visualized sections of upper abdomen show a large enhancing mass with central necrotic areas in left hypochondrium region ,measures approximately 8 x 8 cm . Mass is situated posterior to stomach and posteromedial to lower pole of spleen. Regional lymphadenopathy is noted -Likely malignant left renal mass.
Impression:
CECT findings are suggestive of
Malignant left renal mass with multiple lung and bony metastasis as described above.

